

Mag. Tomaž Rotar, dr.dent.med. je bil rojen 6.3.1972 v Kranju. Osnovno šolo je obiskoval v Radovljici, naravoslovno gimnazijo pa na Jesenicah. Po končani gimnaziji se je vpisal na Medicinsko fakulteto v Ljubljani smer stomatologija. Diplomiral je leta 1997 s povprečno oceno 9,1. Po diplomi se je odločil za magistrski študij in dobil učiteljsko mesto na Medicinski fakulteti. Magistriral je leta 2000. Od takrat dela v zasebni praksi v Radovljici, kjer ima dve ločeni ordinaciji. V zadnjih petih letih je naredil velik korak na področju implantologije in dobil naziv inštruktor pri mednarodni zvezi, ki skrbi za izobraževanje na tem področju (IFZI). Živi v Lescah na Gorenjskem, je poročen in ima dve hčeri. Ves čas ostaja zvest gorništvu in je osvojil nekaj markantnih vrhov širom po svetu.








Vsi prispevki Tomaža Rotarja

V praksi se vse večkrat soočamo s problematiko hitre protetične rehabilitacije na zobnih vsadkih. Vedno pogostejše želje pacientov, da bi dobili ustrezen nadomestek takoj ali vsaj kmalu po vstavitvi vsadkov, so nam porodile idejo, da napišemo nekaj besed o dotični problematiki.
Ideja o implantaciji nadomestkov zobnih korenin oziroma zob je že zelo stara in sega daleč nazaj pred pričetek našega štetja. Prve dokaze o takojšnji implantaciji tujega materiala po izbitju zob v čeljustno kost so znani iz obdobja indijancev Mayev. Ti so si po bitki na mesto izbitih sekalcev, v sveže rane vstavljali dele morskih školjk. Raziskava kostnih ostankov je pokazala da so se le ti uspešno in popolno zrasli s čeljustno kostjo (osteointegracija).
Glede na časovni zamik po ruvanju zob načeloma ločimo dva načina vstavljanja zobnih vsadkov v čeljustno kost:
Ideja o implantaciji nadomestkov zobnih korenin oziroma zob je že zelo stara in sega daleč nazaj pred pričetek našega štetja. Prve dokaze o takojšnji implantaciji tujega materiala po izbitju zob v čeljustno kost so znani iz obdobja indijancev Mayev. Ti so si po bitki na mesto izbitih sekalcev, v sveže rane vstavljali dele morskih školjk. Raziskava kostnih ostankov je pokazala da so se le ti uspešno in popolno zrasli s čeljustno kostjo (osteointegracija).
Glede na časovni zamik po ruvanju zob načeloma ločimo dva načina vstavljanja zobnih vsadkov v čeljustno kost:
- vsadke vijačimo direktno v prazno zobno alveolo; takoj za tem , ko zob izruvamo ali pa je bil zob zaradi nezgode izbit,
- vsadke vijačimo v zaceljeno čeljustno kost, najmanj dva meseca po odstranitvi zoba.
Takojšnja implantacija pride v poštev takrat, kadar je bil izruvan ali izbit zob, ki pred dogodkom ni kazal hudih bolezenskih znakov v smislu obsežnejših vnetij kosti ob vršku korenin. RTG posnetek ne pokaže prisotnosti periapikalnih granulomov. Klinična slika je čista brez znakov gnojnih vnetij, oteklin ali fistulacij (prisotnost fistule ali šole). Zobje, ki jih lahko takoj nadomestimo z vsadkom imajo lahko le eno korenino: sekalci, podočniki in ličniki, ker mora anatomija korenine vsaj približno ustrezati obliki zobnega vsadka. Debelina kosti , ki loči dno alveole (kostno ležišče korenine) od pomembnih anatomskih struktur mora biti zadostna za primarno retencijo vsadka (vsadek mora biti po vijačenju relativno trdno zasidran v kosti). V zgornji čeljusti je debelina kosti omejena z dnom nosne votline ali dnom obnosnih votlin. V spodnji čeljusti pa nam je na poti živec, ki oživčuje vse zobe spodnje čeljusti ter ustnico in kožo na bradi (mandibularis). Kost v kateri je bila zobna korenina mora po ruvanju ali poškodbi ostati relativno nepoškodovana, tako da je vsadek po vstavitvi obdan z ustrezno debelino kostnine. Največkrat oblika alveole popolnoma ne ustreza obliki zobnega vsadka. Če so odstopanja med velikostjo alveole in debelino vsadka večje kot dva milimetra je potrebno v špranjo med kostjo in vsadkom dodati granulat umetne kosti. Kadar pogoji ne ustrezajo takojšnji implantaciji se poslužimo zakasnele vstavitve vsadka najmanj dva meseca po ruvanju zob.
Takojšnja implantacija ima seveda svoje prednosti. Kost se običajno po ruvanju zoba na dotičnem mestu precej preoblikuje. Kostni greben se zmanjša (stanjša in skrajša), temu sledi tudi preoblikovanje rdečega tkiva (dlesni). Rezultat je estetsko nezadovoljiv protetični nadomestek. Ohranitev primarne višine kostnega grebena je bistvenega pomena pri ohranitvi medzobnih papil (delov dlesni, ki zapolnjujejo prazne trikotne prostore med zobnimi kronami). S takojšnjo vstavitvijo vsadka se preoblikovanju kosti in dlesni v precejšnji meri izognemo. S tem načinom implantacije skrajšamo čas do končne protetične oskrbe. Pacient je poleg tega le enkrat obremenjen s kirurškim posegom (sočasna implantacija in ruvanje).
Glede na časovni zamik obremenitve zobnih vsadkov s protetičnimi nadomestki ločimo dva načina:
Takojšnja implantacija ima seveda svoje prednosti. Kost se običajno po ruvanju zoba na dotičnem mestu precej preoblikuje. Kostni greben se zmanjša (stanjša in skrajša), temu sledi tudi preoblikovanje rdečega tkiva (dlesni). Rezultat je estetsko nezadovoljiv protetični nadomestek. Ohranitev primarne višine kostnega grebena je bistvenega pomena pri ohranitvi medzobnih papil (delov dlesni, ki zapolnjujejo prazne trikotne prostore med zobnimi kronami). S takojšnjo vstavitvijo vsadka se preoblikovanju kosti in dlesni v precejšnji meri izognemo. S tem načinom implantacije skrajšamo čas do končne protetične oskrbe. Pacient je poleg tega le enkrat obremenjen s kirurškim posegom (sočasna implantacija in ruvanje).
Glede na časovni zamik obremenitve zobnih vsadkov s protetičnimi nadomestki ločimo dva načina:
- klasična metoda s pozno obremenitvijo
- takojšnja obremenitev vstavljenih implantov.
Klasična metoda vstavljanja vsadkov se drži načela, da vsadek med obdobjem osteointegracije (zraščanja s kostjo ) ne sme biti obremenjem, torej ne sme podpirati protetičnega nadomestka (krona, most, proteza) . Minimalni premiki vsadka zaradi griznih sil namreč preprečijo uspešno zraščanje s kostjo. Vsadek se v tem primeru obda z vezivom, ki preprečuje direkten stik s kostjo: govorimo o vezivnem zraščanju, ki ga lahko štejemo za terapevtski neuspeh. Obdobja, ki ga vsadki potrebujejo za osteointegracijo so različna. Generalno pa lahko strnemo časovne zamike do obremenitve v dve skupini:
- štiri do šest mesecev v zgornji čeljusti
- okoli tri mesece v spodnji čeljusti.
Razlike so pogojene z različno gostoto kostnine v zgornji in spodnji čeljusti, kakor tudi v predelu sekalcev in kočnikov. Ves ta čas so pacienti sanirani z začasnimi protetičnimi nadomestki (snemnimi ali fiksnimi) , ki vsadka ne obremenjujejo. Začasna sanacija je največkrat estetsko zadovoljiva, vendar funkcionalno slaba in nezadostna. Tako se pacienti v tem času lahko srečujejo s problemom učinkovitega žvečenja.
Časovna stiska in vse večji poudarek na estetsko dovršenih rešitvah so pripeljali do načinov oskrbe (takojšnja obremenitev vsadkov) , ki lahko omogočajo takojšnjo estetsko in relativni dobro funkcionalno sanacijo po operaciji. Minimalnim premikom v obdobju zraščanja vsadkov s kostjo se v tem primeru izognemo z visoko primarno retencijo vstavljenega vsadka, kar pomeni da že sam navoj vsadka in sila vijačenja le tega v kost preprečujeta, da bi se vsadek kljub obremenitvi zaradi žvečnih sil premikal v kostnem ležišču. Minimalni premiki so namreč pogubni za uspešno osteointegracijo in s tem za terapevtski uspeh. Bistvenega pomena za dobro začetno pritrditev vsadka je sila navora s katerim vijačimo samovrezne vsadke v kost in mora znašati približno 40 N/cm. Silo nam pogojuje gostota kosti, debelina kosti, oblika in dolžina zobnih vsadkov. Omenjeno retencijo lahko dosežemo pri vsadkih, ki jih vijačimo takoj po ruvanju zoba ali kasneje; minimalno dva meseca po ruvanju ali izbitju zoba.
Protetični nadomestek s katerim takoj po vstavitvi obremenimo zobni vsadek ne sme biti enak tistemu, ki ga bo pacient dobil šele nekaj mesecev po operaciji. Nadomestek ne sme biti v polni funciji, kar pomeni da se ne dotika antagonistov (zob v nasprotni čeljusti). Prav tako so ti nadomestki največkrat narejeni iz mehkejših materialov kot trajni. Opisan način začasne oskrbe je tako zaradi izdelave začasnega nadomestka direktno na zobni vsadek nekoliko dražji od klasične začasne snemne oskrbe pri zakasneli obremenitvi vsadkov.
Odločitev o načinu oskrbe z zobnimi vsadki prepustite terapevtom. Upamo, da se boste s pridobljenimi informacijami laže odločili za tovrstno terapijo.
Časovna stiska in vse večji poudarek na estetsko dovršenih rešitvah so pripeljali do načinov oskrbe (takojšnja obremenitev vsadkov) , ki lahko omogočajo takojšnjo estetsko in relativni dobro funkcionalno sanacijo po operaciji. Minimalnim premikom v obdobju zraščanja vsadkov s kostjo se v tem primeru izognemo z visoko primarno retencijo vstavljenega vsadka, kar pomeni da že sam navoj vsadka in sila vijačenja le tega v kost preprečujeta, da bi se vsadek kljub obremenitvi zaradi žvečnih sil premikal v kostnem ležišču. Minimalni premiki so namreč pogubni za uspešno osteointegracijo in s tem za terapevtski uspeh. Bistvenega pomena za dobro začetno pritrditev vsadka je sila navora s katerim vijačimo samovrezne vsadke v kost in mora znašati približno 40 N/cm. Silo nam pogojuje gostota kosti, debelina kosti, oblika in dolžina zobnih vsadkov. Omenjeno retencijo lahko dosežemo pri vsadkih, ki jih vijačimo takoj po ruvanju zoba ali kasneje; minimalno dva meseca po ruvanju ali izbitju zoba.
Protetični nadomestek s katerim takoj po vstavitvi obremenimo zobni vsadek ne sme biti enak tistemu, ki ga bo pacient dobil šele nekaj mesecev po operaciji. Nadomestek ne sme biti v polni funciji, kar pomeni da se ne dotika antagonistov (zob v nasprotni čeljusti). Prav tako so ti nadomestki največkrat narejeni iz mehkejših materialov kot trajni. Opisan način začasne oskrbe je tako zaradi izdelave začasnega nadomestka direktno na zobni vsadek nekoliko dražji od klasične začasne snemne oskrbe pri zakasneli obremenitvi vsadkov.
Odločitev o načinu oskrbe z zobnimi vsadki prepustite terapevtom. Upamo, da se boste s pridobljenimi informacijami laže odločili za tovrstno terapijo.


Slab zadah ali strokovno halitoza je pojav, ki je razširjen po vsem svetu. Rezultati različnih raziskav kažejo, da ima skoraj polovico populacije vsaj občasno, če ne stalno slab zadah. Internetni iskalniki nam ob vpisanih pojmih (halitoza) servirajo skoraj devet milijonov zadetkov ali zapisov, ki so posvečeni tej problematiki, kar kaze kako visoka je potreba po tovrstni informaciji. Zavedanje o pojavu je relativno zelo staro. Grška mitologija govori, da je Afrodita neubogljive zenske kaznovala s slabim zadahom. Samooklicani kralj Sonca Ludvik XIV je bil znan po izredno slabem zadahu, vendar mu tega nihče na dvoru ni upal povedati. Tema neugodnega zadaha predstavlja se danes mnogim tabu, saj gre za nezaželjen, ofenziven simptom, ki lahko pripelje do osebnega in psihosocialnega konflikta.
Vzrok slabemu zadahu so bakterije, ki pri pridobivanju energije razgrajujejo beljakovine na manjše sestavne dele (aminokisline). Pri razgradnji nekaterih se sproščajo hlapljive žveplene snovi, ki povzročajo neugoden zadah. Omenjen bakterije laze živijo brez kisika in v bazičnem okolju. V kolikor imajo pogoje za življenje in delovanje v ustni votlini in njeni neposredni bližini (nos, obnosne votline, zrelo in grlo) se pojavi zadah.
Slab zadah ne predstavlja samostojne, ampak je pokazatelj neke druge bolezni ali motnje v ustih ali neposredni okolici. Ločimo pravi ustni zadah iz ust ali nosa, ki ga lahko tudi objektivno dokažemo (naprave...) in nepravi zadah ali pseudohalitozo, pri čemer pa motnje ne moremo dokazati ali objektivizirati. Pri slednjem pojavu je potrebno ločiti se halitofobijo ali dobesedno strah pred zadahom iz ust. Dotični pacienti se pri tem pritožujejo nad slabim zadahom, ki ga ne moremo dokazati, vendar pa razlage, da zadaha nimajo tudi ne sprejmejo. Vzroki slabega zadaha so skoraj v 90% v ustni votlini. Najpogosteje se dotikajo jezika in v precej manjši meri parodontalne bolezni oziroma bolezni obzobnih tkiv. Dve tretjini vseh mikroorganizmov se zadržuje na jeziku, kjer imajo najbolj ugodne pogoje za razmnoževanje. Mikro in makrohrapavost jezika nudi bakterijam, predvsem tistim, ki živijo brez kisika, se dodatne pogoje za rast. Dokazane je bila izrazita povezava med količino oblog na jeziku (ki so hrana za bakterije) in prisotnostjo slabega zadaha. Pacienti z oblogami imajo tudi 25 X večjo koncentracijo bakterij na površinsko enoto. Nastanek oblog je dodatno stimuliran s kajenjem, stresom, pretiranim pitjem kave, dihanjem na usta, enostranskim žvečenjem in z nezadostnim pitjem. Obloge na jeziku so sestavljene iz ostankov hrane, bakterij, ostankov epitelijskih in krvnih celic, ter sline. Količina oblog na jeziku je v veliki meri odvisna od ustne higiene, vendar pa določeni anatomski in drugi pogoji povečujejo verjetnost za pojavnost le teh. Razbrazdan jezik (lingua plicata) po navadi zadržuje večje količine oblog in s tem večjo količino za zadah odgovornih bakterij. Nenormalno podaljšanje fifliformnih papil (jezičnih brbončic) tako kot globoke brazde omogoča večje kopičenje bakterij in njihove hrane na površini jezika. Barva jezika je ob tem največkrat spremenjena od črne, preko rumene do bele. Zaradi podaljšanja papil taki ljudje lahko dobijo občutek dušenja. Kljub opisani klinični sliki pa se stanje največkrat povrne v normalno že ob redni in temeljiti higieni.
Tudi bolezni obzobnih tkiv prispevajo svoj delež (10%) k slabemu zadahu. Raziskave so pokazale tesno povezavo med stopnjo razvitosti parodontalne bolezni in količino žveplenih snov (ki povzročajjo zadah ) in povezavo med terapijo parodontalne bolezni in zmanjšanjem ustnega zadaha.
Kariozne lezije predstavljajo manjši delež vzrokov za ustni zadah. Karies celo povzroča spust Ph vrednosti v ustni votlini in s tem do neke mere kompenzira alkalnost le te, ki se pojavlja ob ustnem zadahu.
Tudi nekateri pacienti, ki nosijo proteze lahko razvijejo slab zadah. Vzrok temu je po navadi slaba higiena proteze in posledična infekcija mehkih tkiv pod le to. Čiščenje proteze in odstranjevanje le te iz ust tekom noči, po navadi zadostuje za izboljšanje stanja.
Na srečo je pojav malignih obolenj v ustih zelo redek, vendar pa kljub temu lahko spremeni ustni zadah, kar strogo govori o zgoraj omenjenem dejstvu, da halitoza ni samostojen pojav ampak samo simptom, katerega razlog se lahko skriva nekje drugje in je lahko tudi potencialno nevaren. Tudi terapija malignih obolenj v ustih ali neposredni okolici, lahko povzroči zadah. Radioterapija rakavih obolenj v področju glave in vratu, v manjši meri tudi določene kemoterapije, lahko povzročijo nepovratno okvaro žlez slinavk in s tem simptom suhih ust ali kserostomijo. Suha usta poleg pekočega jezika in drugih neželjenih motenj spremlja tudi slab zadah. Slina igra pomembno vlogo pri ravnotežju potencialno nevarnih in nenevarnih bakterij. V kolikor jo primanjkuje se razrastejo bakterije, ki poleg drugih problemov povzročijo tudi zadah.
Poleg opisanih bolezni suha usta in posledice povzroča tudi jemanje nekaterih zdravil (za zniževanje krvnega tlaka, zdravila ki vplivajo na delovanje srca, zdravila proti Parkinsonovi bolezni ) in nekatere sistemske bolezni kot je avtoimuni Sjogrenov sindrom. Skoraj po pravilu bolezen spremlja tudi izrazit zadah, ki ga relativno neuspešno lahko zdravimo z nadomestki sline. Pri nekaterih pacientih lahko povečujemo delovanje žlez slinavk z zdravili (pilokarpin' Cevimelin, Evoxac) vendar tudi ta zdravila po navadi ne dosežejo željenih rezultatov.
Tudi čustveni stres občutno zmanjša izločanje sline kar so potrdile mnoge študije, ki so pri več kot 40% ljudeh, ki naj bi bili pod stresom, pokazale občutno manjšo količino sline.
Med obroki se izločanje sline močno poveča, tako da je zadah po obrokih bistveno manjši kot pred njimi.
Med spanjem je stanje ravno nasprotno. Zmanjšanje izločanja sline pripelje do dobro poznanega in neprijetnega jutranjega zadaha. Pojav je bolj izrazit v kolikor med spanjem ni mogoče dihati skozi nos.
Kot že povedano večina vzrokov za slab zadah lezi v ustni votlini. Približno v desetih procentih pa jih je mogoče najti v nosu, obnosnih votlinah, zrelu in grlu. Večino vzrokov torej lahko diagnosticira zobozdravnik in šele ko izključi vse, pacienta napoti k otorinolaringologu, ki bo iskal vzroke naprej. V zelo majhnem deležu so vzroki zadaha v požiralniku oziroma želodcu, torej preiskave teh organov po navadi ne dajo željenih rezultatov. Vnetje nebnih tonzil spada med bolj pogoste vzroke zadaha, ki lezijo izven ustne votline. Površina tega limfatičnega organa je zelo razbrazdana in nudi idealne pogoje za naseljevanje bakterij, kar povzroča vnetje in tudi zadah. Akutno vnetje (angina) povzroča hud zadah , ki pa po ozdravljeni bolezni tudi spontano izgine. Pri kroničnem vnetju (kronični tonzilitis) se v globokih brazdah tonzil nakopiči veliko število anaerobnih bakterij, ki tvorijo gnojen izloček. Pri govoru, žvečenju, zehanju se le ta pojavi na površini žlez v obliki gnojnih čepkov, ki so vzrok slabemu zadahu. V skrajnem primeru je potrebno tako obolele tonzile kirurško odstraniti. Tudi samo povečanje tonzil, kar opazimo največkrat pri otrocih, je lahko vzrok zadahu, saj onemogoči normalno dihanje na nos, s tem izsuševanje ustne votline, kar pa pripelje do zgoraj navedenih posledic (suha usta). Nebnice so lahko vzrok zadaha tudi v primeru, ko se v njihovo mehko tkivo zarije oster delec hrane (ribja koščica), povzroči vnetje, kopičenje bakterij in s tem zadah. Tudi vnetje zrela, kar občutimo le kot hrapav, pekoč občutek in vnetje grla s povečano količino anaerobnih bakterij na površini sluznice lahko spremlja zadah. Halitoza tega področja je vredna pozornosti saj je lahko prvi znak obolenj, ki ne minejo sama po sebi. V primeru rakavih obolenj v področju zrela bolečina pri poziranju ter povečane in otekle bezgavke pomenijo relativno kasen znak bolezni, ki bi ga morali odkriti že prej.
Obolenja sluznice nosne in obnosnih votlin lahko povzročijo neprijeten zadah iz nosu ali ustne votline kar je v praksi relativno težko ločiti, v obeh primerih pa lahko govorimo o halitozi, ne glede na to iz katere votline zadah prihaja. Izsušeni izločki sluznice nosne votline pri kroničnih vnetjih (kronični rinosinusitisi) , kot posledica operacij, sevanj ali deviacij nosnega pretina so pogosti razlogi za problem. Sluznica obnosne votline je lahko vneta zaradi bolezni zob v zgornji čeljusti, kar je odvisno predvsem od anatomije dna obnosne votline in položaja dotičnih zob.
Preprečevanje in zdravljenje ustnega zadaha je s stališča stomatologije dejansko zdravljenje bolezni, ki le tega povzročajo. Dolgo časa se je problematika zadaha razumela kot "estetski " problem, ki se je reševal s prikrivanjem samega simptoma z uporabo sredstev z močnejšim in prijetnejšim vonjem. Prva oseba s katero naj bi prizadeti govoril o problemu je ,glede na pogostnost vzrokov (90 % ustna votlina), zobozdravnik. S strokovnega stališča se torej pri zdravljenju v prvi vrsti uporablja profesionalno čiščenje oblog vključno z luščenjem in glajenjem korenin (parodontološko zdravljenje). Zaradi lažjega načina preprečevanja zadaha je danes najbolj razširjena oblika terapije z uporabo raztopin, ki vsebujejo snovi za zmanjševanje števila bakterij v ustni votlini, ki so , kot prej navedeno, glavni razlog za problem. Klorheksidin velja za zlati standard, saj hitro zmanjša število bakterij posebno anaerobnih, posledično se zmanjša koncentracija žveplenih plinov, ki so pravzaprav osnova slabega vonja. Najpogosteje se uporablja v 0,1 % raztopini, včasih v kombinaciji s cetilpiridinijevim kloridom, ki ima antiseptični učinek. Ustnim vodam so po navadi primešana tudi eterična olja in alkohol, vendar njihova dolgotrajna uporaba lahko zmanjša lastno obrambo ustne votline proti bakterijam. Nekoliko redkeje uporabljena snov v pripravkih je klor dioksid kot oksidacijska snov. Zmanjšuje število bakterij, inaktivira bakterijske encime za proizvodnjo žveplenih plinov in hkrati uničuje že narejene. Snov se sicer mnogo pogosteje uporablja pri pripravi pitne vode, vendar si stroka se ni edina v domnevi, da se klor lahko kopici v telesu.
Glede na to, da se dve tretjini vseh bakterij zadržuje na jeziku, njihova količina pa je najbolj odvisna od jezičnih oblog je odstranjevanje le teh največkrat najboljša terapija zadaha. Odstranjujemo jih s posebnimi ščetkami in pastami za čiščenje jezika, dvakrat do trikrat dnevno, kot dodatek normalni zobni higieni. Ščetkamo jezik do najbolj distalne točke , ki je pravzaprav najvišji del jezika ko le tega najmočneje iztegnemo iz ust. Mnogi pacienti se pritožujejo, da jih pri čiščenju sili na bruhanje. Ta občutek se močno zmanjša ob rednem čiščenju in z zapiranjem oči med čiščenjem.
Vzrok slabemu zadahu so bakterije, ki pri pridobivanju energije razgrajujejo beljakovine na manjše sestavne dele (aminokisline). Pri razgradnji nekaterih se sproščajo hlapljive žveplene snovi, ki povzročajo neugoden zadah. Omenjen bakterije laze živijo brez kisika in v bazičnem okolju. V kolikor imajo pogoje za življenje in delovanje v ustni votlini in njeni neposredni bližini (nos, obnosne votline, zrelo in grlo) se pojavi zadah.
Slab zadah ne predstavlja samostojne, ampak je pokazatelj neke druge bolezni ali motnje v ustih ali neposredni okolici. Ločimo pravi ustni zadah iz ust ali nosa, ki ga lahko tudi objektivno dokažemo (naprave...) in nepravi zadah ali pseudohalitozo, pri čemer pa motnje ne moremo dokazati ali objektivizirati. Pri slednjem pojavu je potrebno ločiti se halitofobijo ali dobesedno strah pred zadahom iz ust. Dotični pacienti se pri tem pritožujejo nad slabim zadahom, ki ga ne moremo dokazati, vendar pa razlage, da zadaha nimajo tudi ne sprejmejo. Vzroki slabega zadaha so skoraj v 90% v ustni votlini. Najpogosteje se dotikajo jezika in v precej manjši meri parodontalne bolezni oziroma bolezni obzobnih tkiv. Dve tretjini vseh mikroorganizmov se zadržuje na jeziku, kjer imajo najbolj ugodne pogoje za razmnoževanje. Mikro in makrohrapavost jezika nudi bakterijam, predvsem tistim, ki živijo brez kisika, se dodatne pogoje za rast. Dokazane je bila izrazita povezava med količino oblog na jeziku (ki so hrana za bakterije) in prisotnostjo slabega zadaha. Pacienti z oblogami imajo tudi 25 X večjo koncentracijo bakterij na površinsko enoto. Nastanek oblog je dodatno stimuliran s kajenjem, stresom, pretiranim pitjem kave, dihanjem na usta, enostranskim žvečenjem in z nezadostnim pitjem. Obloge na jeziku so sestavljene iz ostankov hrane, bakterij, ostankov epitelijskih in krvnih celic, ter sline. Količina oblog na jeziku je v veliki meri odvisna od ustne higiene, vendar pa določeni anatomski in drugi pogoji povečujejo verjetnost za pojavnost le teh. Razbrazdan jezik (lingua plicata) po navadi zadržuje večje količine oblog in s tem večjo količino za zadah odgovornih bakterij. Nenormalno podaljšanje fifliformnih papil (jezičnih brbončic) tako kot globoke brazde omogoča večje kopičenje bakterij in njihove hrane na površini jezika. Barva jezika je ob tem največkrat spremenjena od črne, preko rumene do bele. Zaradi podaljšanja papil taki ljudje lahko dobijo občutek dušenja. Kljub opisani klinični sliki pa se stanje največkrat povrne v normalno že ob redni in temeljiti higieni.
Tudi bolezni obzobnih tkiv prispevajo svoj delež (10%) k slabemu zadahu. Raziskave so pokazale tesno povezavo med stopnjo razvitosti parodontalne bolezni in količino žveplenih snov (ki povzročajjo zadah ) in povezavo med terapijo parodontalne bolezni in zmanjšanjem ustnega zadaha.
Kariozne lezije predstavljajo manjši delež vzrokov za ustni zadah. Karies celo povzroča spust Ph vrednosti v ustni votlini in s tem do neke mere kompenzira alkalnost le te, ki se pojavlja ob ustnem zadahu.
Tudi nekateri pacienti, ki nosijo proteze lahko razvijejo slab zadah. Vzrok temu je po navadi slaba higiena proteze in posledična infekcija mehkih tkiv pod le to. Čiščenje proteze in odstranjevanje le te iz ust tekom noči, po navadi zadostuje za izboljšanje stanja.
Na srečo je pojav malignih obolenj v ustih zelo redek, vendar pa kljub temu lahko spremeni ustni zadah, kar strogo govori o zgoraj omenjenem dejstvu, da halitoza ni samostojen pojav ampak samo simptom, katerega razlog se lahko skriva nekje drugje in je lahko tudi potencialno nevaren. Tudi terapija malignih obolenj v ustih ali neposredni okolici, lahko povzroči zadah. Radioterapija rakavih obolenj v področju glave in vratu, v manjši meri tudi določene kemoterapije, lahko povzročijo nepovratno okvaro žlez slinavk in s tem simptom suhih ust ali kserostomijo. Suha usta poleg pekočega jezika in drugih neželjenih motenj spremlja tudi slab zadah. Slina igra pomembno vlogo pri ravnotežju potencialno nevarnih in nenevarnih bakterij. V kolikor jo primanjkuje se razrastejo bakterije, ki poleg drugih problemov povzročijo tudi zadah.
Poleg opisanih bolezni suha usta in posledice povzroča tudi jemanje nekaterih zdravil (za zniževanje krvnega tlaka, zdravila ki vplivajo na delovanje srca, zdravila proti Parkinsonovi bolezni ) in nekatere sistemske bolezni kot je avtoimuni Sjogrenov sindrom. Skoraj po pravilu bolezen spremlja tudi izrazit zadah, ki ga relativno neuspešno lahko zdravimo z nadomestki sline. Pri nekaterih pacientih lahko povečujemo delovanje žlez slinavk z zdravili (pilokarpin' Cevimelin, Evoxac) vendar tudi ta zdravila po navadi ne dosežejo željenih rezultatov.
Tudi čustveni stres občutno zmanjša izločanje sline kar so potrdile mnoge študije, ki so pri več kot 40% ljudeh, ki naj bi bili pod stresom, pokazale občutno manjšo količino sline.
Med obroki se izločanje sline močno poveča, tako da je zadah po obrokih bistveno manjši kot pred njimi.
Med spanjem je stanje ravno nasprotno. Zmanjšanje izločanja sline pripelje do dobro poznanega in neprijetnega jutranjega zadaha. Pojav je bolj izrazit v kolikor med spanjem ni mogoče dihati skozi nos.
Kot že povedano večina vzrokov za slab zadah lezi v ustni votlini. Približno v desetih procentih pa jih je mogoče najti v nosu, obnosnih votlinah, zrelu in grlu. Večino vzrokov torej lahko diagnosticira zobozdravnik in šele ko izključi vse, pacienta napoti k otorinolaringologu, ki bo iskal vzroke naprej. V zelo majhnem deležu so vzroki zadaha v požiralniku oziroma želodcu, torej preiskave teh organov po navadi ne dajo željenih rezultatov. Vnetje nebnih tonzil spada med bolj pogoste vzroke zadaha, ki lezijo izven ustne votline. Površina tega limfatičnega organa je zelo razbrazdana in nudi idealne pogoje za naseljevanje bakterij, kar povzroča vnetje in tudi zadah. Akutno vnetje (angina) povzroča hud zadah , ki pa po ozdravljeni bolezni tudi spontano izgine. Pri kroničnem vnetju (kronični tonzilitis) se v globokih brazdah tonzil nakopiči veliko število anaerobnih bakterij, ki tvorijo gnojen izloček. Pri govoru, žvečenju, zehanju se le ta pojavi na površini žlez v obliki gnojnih čepkov, ki so vzrok slabemu zadahu. V skrajnem primeru je potrebno tako obolele tonzile kirurško odstraniti. Tudi samo povečanje tonzil, kar opazimo največkrat pri otrocih, je lahko vzrok zadahu, saj onemogoči normalno dihanje na nos, s tem izsuševanje ustne votline, kar pa pripelje do zgoraj navedenih posledic (suha usta). Nebnice so lahko vzrok zadaha tudi v primeru, ko se v njihovo mehko tkivo zarije oster delec hrane (ribja koščica), povzroči vnetje, kopičenje bakterij in s tem zadah. Tudi vnetje zrela, kar občutimo le kot hrapav, pekoč občutek in vnetje grla s povečano količino anaerobnih bakterij na površini sluznice lahko spremlja zadah. Halitoza tega področja je vredna pozornosti saj je lahko prvi znak obolenj, ki ne minejo sama po sebi. V primeru rakavih obolenj v področju zrela bolečina pri poziranju ter povečane in otekle bezgavke pomenijo relativno kasen znak bolezni, ki bi ga morali odkriti že prej.
Obolenja sluznice nosne in obnosnih votlin lahko povzročijo neprijeten zadah iz nosu ali ustne votline kar je v praksi relativno težko ločiti, v obeh primerih pa lahko govorimo o halitozi, ne glede na to iz katere votline zadah prihaja. Izsušeni izločki sluznice nosne votline pri kroničnih vnetjih (kronični rinosinusitisi) , kot posledica operacij, sevanj ali deviacij nosnega pretina so pogosti razlogi za problem. Sluznica obnosne votline je lahko vneta zaradi bolezni zob v zgornji čeljusti, kar je odvisno predvsem od anatomije dna obnosne votline in položaja dotičnih zob.
Preprečevanje in zdravljenje ustnega zadaha je s stališča stomatologije dejansko zdravljenje bolezni, ki le tega povzročajo. Dolgo časa se je problematika zadaha razumela kot "estetski " problem, ki se je reševal s prikrivanjem samega simptoma z uporabo sredstev z močnejšim in prijetnejšim vonjem. Prva oseba s katero naj bi prizadeti govoril o problemu je ,glede na pogostnost vzrokov (90 % ustna votlina), zobozdravnik. S strokovnega stališča se torej pri zdravljenju v prvi vrsti uporablja profesionalno čiščenje oblog vključno z luščenjem in glajenjem korenin (parodontološko zdravljenje). Zaradi lažjega načina preprečevanja zadaha je danes najbolj razširjena oblika terapije z uporabo raztopin, ki vsebujejo snovi za zmanjševanje števila bakterij v ustni votlini, ki so , kot prej navedeno, glavni razlog za problem. Klorheksidin velja za zlati standard, saj hitro zmanjša število bakterij posebno anaerobnih, posledično se zmanjša koncentracija žveplenih plinov, ki so pravzaprav osnova slabega vonja. Najpogosteje se uporablja v 0,1 % raztopini, včasih v kombinaciji s cetilpiridinijevim kloridom, ki ima antiseptični učinek. Ustnim vodam so po navadi primešana tudi eterična olja in alkohol, vendar njihova dolgotrajna uporaba lahko zmanjša lastno obrambo ustne votline proti bakterijam. Nekoliko redkeje uporabljena snov v pripravkih je klor dioksid kot oksidacijska snov. Zmanjšuje število bakterij, inaktivira bakterijske encime za proizvodnjo žveplenih plinov in hkrati uničuje že narejene. Snov se sicer mnogo pogosteje uporablja pri pripravi pitne vode, vendar si stroka se ni edina v domnevi, da se klor lahko kopici v telesu.
Glede na to, da se dve tretjini vseh bakterij zadržuje na jeziku, njihova količina pa je najbolj odvisna od jezičnih oblog je odstranjevanje le teh največkrat najboljša terapija zadaha. Odstranjujemo jih s posebnimi ščetkami in pastami za čiščenje jezika, dvakrat do trikrat dnevno, kot dodatek normalni zobni higieni. Ščetkamo jezik do najbolj distalne točke , ki je pravzaprav najvišji del jezika ko le tega najmočneje iztegnemo iz ust. Mnogi pacienti se pritožujejo, da jih pri čiščenju sili na bruhanje. Ta občutek se močno zmanjša ob rednem čiščenju in z zapiranjem oči med čiščenjem.


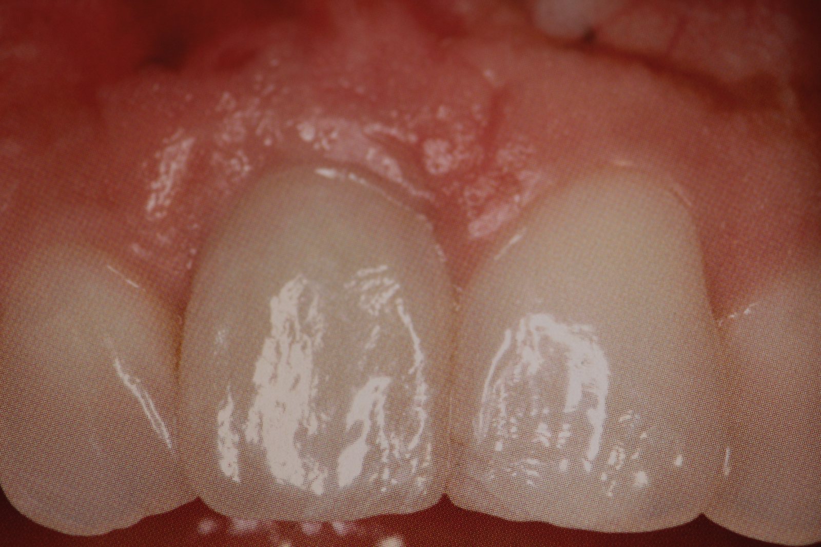
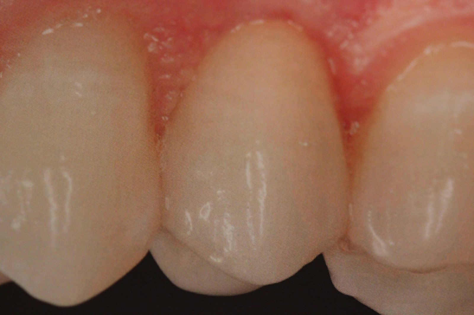
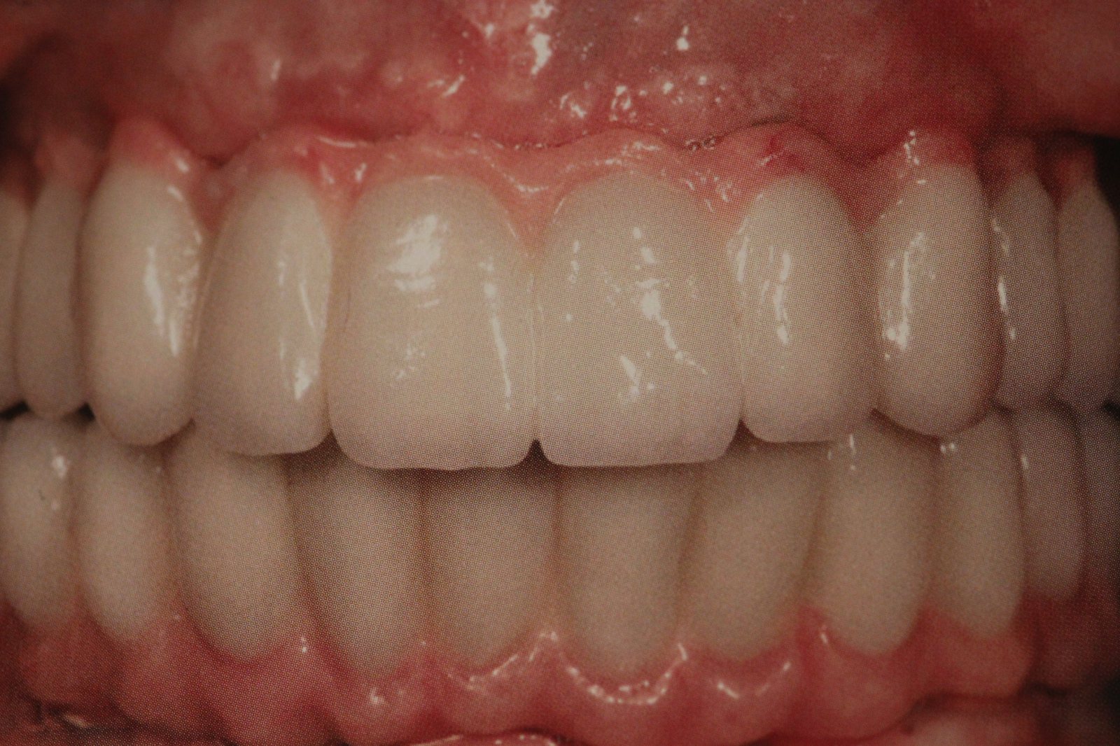
Pacienti pričakujejo od protetične rehabilitacije na zobnih vsadkih največ kar je sploh možno v protetični stomatologiji doseči. Vzrok so seveda visoka cena, ki jo v osnovi pogojuje že uporaba zobnih vsadkov in relativno dolgotrajen in naporen postopek, kar pacienti občutijo tudi na lastni koži. Rezultat mora biti tako primeren vložku, ne glede na problematiko, s katero se terapevt na poti do cilja srečuje. Kirurg, protetik in zobotehnik lahko na osnovi digitalne podpore kot ekipa dosežejo zadovoljive rezultate. CAD/CAM tehnologija je tako postala nosilec kiruške in protetične podpore.
Ko se odločamo o načinu terapije je odločilnih nekaj dejavnikov: oralno zdravje pacienta, njegove želje, finančna sposobnost in sposobnost sodelovanja pri terapiji. Nepogrešljivo je planiranje v obratni smeri (backward planning) s katerim je mogoče že na začetku terapije ugotoviti zadostnost ali nezadostnost parametrov, ki vplivajo na implantcijo, za končno izdelavo protetičnega dela.
Veriga digitalne obdelave ima primarne komponente: skener (tudi intraoralni) za digitalno zbiranje podatkov, program za njihovo obdelavo, ter odgovarjajoča strojna oprema. V ožjem smislu tehnologija pomeni izdelavo protetičnih nadomestkov (v tem primeru na vsadkih), začasnih ali trajnih, z metodo rezkanja pripravljenih blokov iz različnih materialov: zirconijev oksid, aluminijev oksid, infiltrirana keramika, steklokeramika, titan , plemenite in neplemenite kovine, akrilat in vosek. Zaradi načina ˝hladne˝ obdelave materialov ima tehnologija določene prednosti pred klasično obdelavo materialov: konstantna kakovost, materiali brez notranjih napetosti in ponovljivost izdelka, ker se vsi podatki o izdelavi hranijo v digitalnih oblikah. Pri opisanem načinu je izjemnega pomena, da so vse komponente izdelave medsebojno dobro usklajene. Kljub digitalizaciji in poenostavljanju postopkov je natančnost in kvaliteta izdelka še vedno odvisna od izkušenosti in strokovnega znanja zobnega tehnika in zobozdravnika.
Vstopna vrata za digitalizacijo podatkov in izdelavo protetičnega izdelka predstavlja skener. Služi za posnetek začetnega ali vmesnih stanj. Začetno stanje lahko predstavlja stanje v ustih (intraoralni skener) ali analogno vzet odtis ali iz njega izlit analogen model stanja. Z uporabo programov se zatem lahko oblikujejo začasne krone, začasni mostovi, končne krone, mostovi, primarne in sekundarne strukture in tercijarna dela za mobilne restauracije. Na razpolago so nam različna programska orodja za postavitev in obdelavo robov, kontaktnih točk, oblikovanje grizne površine, določitev odnosa z antagonisti in oblikovanje virtualne artikulacije.
Individualno oblikovane nadgradnje v transkaninem sektorju omogočajo optimalno obliko skeleta konstrukcije, v estetsko občutljivem področju pa optimalen potek gingivalnega roba. Pri izdelavi posamičnih kron je mogoča optimalna retencijska oblika, mejo preparacije pa je mogoče individualno oblikovati tako, da se ostanki cementa z lahkoto v celoti odstranijo.
Začasne fiksne konstrukcije na vsadkih imajo posebno težo pri komplaksnejših oskrbah. Začasna oskrba sama po sebi nudi relativno dobro rehabilitacijo, ki je glede na podaljšan čas osteointegracije, posebej v zgornji čeljustnici, obvezna. Hkrati nudi terapevtu vse potrebne podatke za končno konstrukcijo. Vertikalna dimenzija, okluzija, fonetika, higijena, estetika so parametric, ki jih je na začasnem nadomestku mogoče med časom funkcije spreminjati in prilagajati individualnim željam pacienta in seveda daktrinarnim zahtevam. Začasen nadomestek, ki ustreza vsem zahtevam, je mogoče pred izdelavo končnega izdelka skenirati, iz dobljenih podaatkov pa generirat končen izdelek. Fiksne konstrukcije je mogoče pritrditi s cementom ali vijaki.
Gredi je mogoče zaradi natančnih digitalnih postopkov izdelati brez napetosti v materialih, tako da so materiali za idelavo lahko visoke trdote in trdnosti: titan, zirconijev dioksid… Oblike gredi so lahko zelo različne in si jih terapevt in tehnik svobodno izbirata. Sekundarne konstrukcije na gredeh je prav tako mogoče izdelati s pomočjo CAD/CAM tehnologije. V pomoč so delovni modeli, gingivalne maske in načrti postavitve zob, katerih karakteristike se uporabijo pri pripravi digitalnega modela.
Velika prednost izdelave konstrukcij z metodo CAD/CAM v primerjavi s klasičnim načinom izdelave konstrukcij je v tem , da se napakam, ki se pojavljajo pri klasični oskrbi načrtno lahko izognemo ali jih vsaj omilimo kar omogoča predizdelava virtualnega stanja, ki nas na te napake vnaprej opozori, sistem sam pa jih lahko tudi popravi. Pogoj za pravilno in dobro delovanje sistema in s tem tudi za popoln izkoristek visoke tehnologije, ki jo nudi, je konstantna in dobra komunikacija med zobnim tenikom in terapevtom.
Ko se odločamo o načinu terapije je odločilnih nekaj dejavnikov: oralno zdravje pacienta, njegove želje, finančna sposobnost in sposobnost sodelovanja pri terapiji. Nepogrešljivo je planiranje v obratni smeri (backward planning) s katerim je mogoče že na začetku terapije ugotoviti zadostnost ali nezadostnost parametrov, ki vplivajo na implantcijo, za končno izdelavo protetičnega dela.
Veriga digitalne obdelave ima primarne komponente: skener (tudi intraoralni) za digitalno zbiranje podatkov, program za njihovo obdelavo, ter odgovarjajoča strojna oprema. V ožjem smislu tehnologija pomeni izdelavo protetičnih nadomestkov (v tem primeru na vsadkih), začasnih ali trajnih, z metodo rezkanja pripravljenih blokov iz različnih materialov: zirconijev oksid, aluminijev oksid, infiltrirana keramika, steklokeramika, titan , plemenite in neplemenite kovine, akrilat in vosek. Zaradi načina ˝hladne˝ obdelave materialov ima tehnologija določene prednosti pred klasično obdelavo materialov: konstantna kakovost, materiali brez notranjih napetosti in ponovljivost izdelka, ker se vsi podatki o izdelavi hranijo v digitalnih oblikah. Pri opisanem načinu je izjemnega pomena, da so vse komponente izdelave medsebojno dobro usklajene. Kljub digitalizaciji in poenostavljanju postopkov je natančnost in kvaliteta izdelka še vedno odvisna od izkušenosti in strokovnega znanja zobnega tehnika in zobozdravnika.
Vstopna vrata za digitalizacijo podatkov in izdelavo protetičnega izdelka predstavlja skener. Služi za posnetek začetnega ali vmesnih stanj. Začetno stanje lahko predstavlja stanje v ustih (intraoralni skener) ali analogno vzet odtis ali iz njega izlit analogen model stanja. Z uporabo programov se zatem lahko oblikujejo začasne krone, začasni mostovi, končne krone, mostovi, primarne in sekundarne strukture in tercijarna dela za mobilne restauracije. Na razpolago so nam različna programska orodja za postavitev in obdelavo robov, kontaktnih točk, oblikovanje grizne površine, določitev odnosa z antagonisti in oblikovanje virtualne artikulacije.
Individualno oblikovane nadgradnje v transkaninem sektorju omogočajo optimalno obliko skeleta konstrukcije, v estetsko občutljivem področju pa optimalen potek gingivalnega roba. Pri izdelavi posamičnih kron je mogoča optimalna retencijska oblika, mejo preparacije pa je mogoče individualno oblikovati tako, da se ostanki cementa z lahkoto v celoti odstranijo.
Začasne fiksne konstrukcije na vsadkih imajo posebno težo pri komplaksnejših oskrbah. Začasna oskrba sama po sebi nudi relativno dobro rehabilitacijo, ki je glede na podaljšan čas osteointegracije, posebej v zgornji čeljustnici, obvezna. Hkrati nudi terapevtu vse potrebne podatke za končno konstrukcijo. Vertikalna dimenzija, okluzija, fonetika, higijena, estetika so parametric, ki jih je na začasnem nadomestku mogoče med časom funkcije spreminjati in prilagajati individualnim željam pacienta in seveda daktrinarnim zahtevam. Začasen nadomestek, ki ustreza vsem zahtevam, je mogoče pred izdelavo končnega izdelka skenirati, iz dobljenih podaatkov pa generirat končen izdelek. Fiksne konstrukcije je mogoče pritrditi s cementom ali vijaki.
Gredi je mogoče zaradi natančnih digitalnih postopkov izdelati brez napetosti v materialih, tako da so materiali za idelavo lahko visoke trdote in trdnosti: titan, zirconijev dioksid… Oblike gredi so lahko zelo različne in si jih terapevt in tehnik svobodno izbirata. Sekundarne konstrukcije na gredeh je prav tako mogoče izdelati s pomočjo CAD/CAM tehnologije. V pomoč so delovni modeli, gingivalne maske in načrti postavitve zob, katerih karakteristike se uporabijo pri pripravi digitalnega modela.
Velika prednost izdelave konstrukcij z metodo CAD/CAM v primerjavi s klasičnim načinom izdelave konstrukcij je v tem , da se napakam, ki se pojavljajo pri klasični oskrbi načrtno lahko izognemo ali jih vsaj omilimo kar omogoča predizdelava virtualnega stanja, ki nas na te napake vnaprej opozori, sistem sam pa jih lahko tudi popravi. Pogoj za pravilno in dobro delovanje sistema in s tem tudi za popoln izkoristek visoke tehnologije, ki jo nudi, je konstantna in dobra komunikacija med zobnim tenikom in terapevtom.











Primerjava primarne stabilnosti samovreznih in nesamovreznih zobnih vsadkov. Dvanajst tedenska klinična študija
Izvleček članka za revijo Medicina danes.
Aleksa Markovic´, DDS, PhD;* José Luís Calvo-Guirado, DDS, PhD, MSc;† Zoran Lazic´, DDS, PhD;‡
Gerardo Gómez-Moreno, DDS, PhD, MSc;§ Dejan C´ alasan, DDS, MSc;¶ Javier Guardia, DDS, PhD;**
Snježana Cˇ olic, DDS, PhD;* Antonio Aguilar-Salvatierra, DDS;** Bojan Gacˇic´, DDS, PhD;*
Rafael Delgado-Ruiz, DDS, PhD, MSc;†† Bojan Janjic´, DDS, MSc;¶ Tijana Mišic´, DDS
Povzetek članka:
Namen študije: Ovrednotiti vpliv načina priprave ležišča za vsadek in oblike zobnega vsadka (samo vrezni / ne samo vrezni) na stabilnost zobnih vsadkov vstavljenih v posteriorni del zgornje čeljustnice, kjer je gostota kosti D3 ali D4. Za merjenje stabilnosti je bila uporabljena resonančna frekvenčna analiza.
Materiali in metode: Med študijo je bilo vstavljenih 65 samovreznih (Blue sky Bredent, Senden , Nemčija) in 56 nesamovreznih (Standard Plus Straumann, Waldenburg, Švica) vsadkov. Vsi so bili vstavljeni v posteriorni del zgornje čeljustnice. Vsadki so bili vstavljeni po predhodni pripravi ležišča z lateralno kondenzacijo kosti ali z vrtanjem po določenem protokolu. Takoj po vstavitvi in kasneje v tedenskih intervalih do vključno dvanajstega tedna po vstavitvi je bila merjena stabilnost vsadkov z resonančno frekvenčno analizo.
Rezultati: Stabilnost takoj po vstavitvi kakor tudi ves čas opazovanja je bila znatno večja pri vsadkih, samovreznih in nesamovreznih , ki so bili vstavljeni v ležišča pripravljena z lateralno kondenzacijo kosti, v primerjavi s tistimi, ki so bili vstavljeni v ležišča pripravljena samo z vrtanjem kosti. Oba tipa vsadkov (samovrezni in nesamovrezni) so kazali podobno stabilnost takoj po vstavitvi in en teden po operaciji, če je bilo ležišče pripravljeno s predhodno kondenzacijo kosti. Samovrezni vsadki so kazali znatno večjo stabilnost pri meritvah od drugega do dvanajstega tedna po vsaditvi. Med vsadki, ki so bili vstavljeni v ležišča pripravljena le z vrtanjem, so ves čas merjenja znatno večjo stabilnost kazali samovrezni vsadki v primerjavi z nesamovreznimi.
Zaključek: Študija kaže, da je priprava ležišča samo z vrtanjem v mehki kosti (D3 in D4) neprimeren postopek. V kolikor se ga poslužujemo, zaključki študije kažejo, da je znatno primernje uporabiti samovrezne vsadke. V mehki kosti (posteriorna maxilla) je zelo priporočljiva priprava ležišča s tehniko lateralne kondenzacije kosti, ne gled na tip uporabljenega vsadka.


Pred leti, ko je bil razvoj moderne implantologije še v povojih je bilo zanimanje znanosti usmerjeno predvsem v problematiko osteointegracije in kostne augumentacije v smislu izboljšanja implantnega ležišča. Za razliko od preteklosti bolezni tkiv okrog vsadkov predstavljajo velik problem v ordinacijah po vsem svetu.
Vnetna dogajanja okrog vsadkov nimajo enega in enostavnega vzroka, zato je iskanje le tega ključnega pomena pri izbiri terapije. Prisotnost patološkega biofilma je največkrat glavni vzrok za omenjeno dogajanje. Znano je, da imajo pacienti , ki trpijo za znaki parodontalne bolezni, znatno večje globine sondiranja okrog zobnih vsadkov, večjo izgubo kosti in znake periimplantitisa, kot pacienti, ki sicer nimajo znakov parodontalne bolezni.
Vzrok periimplantnih bolezni je v mnogih primerih relativno lahko ugotoviti, saj gre za nepravilno oblikovano protetično konstrukcijo, ki jo je težko ali nemogoče čistiit ali samo za ostanke cementa pod cementirano konstrukcijo. Terapija tako zahteva menjavo konstrukcija, ki pa za sam vsadek največkrat ni škodljiva. Precej težja in neuspešna je terapija, ko vzroki lečijo v nepopolni regeneraciji in osteointegraciji kostnih nadomestkov. Inficirane dele kosti ali njenih nadomestkov je potrebno čim preje in čim bolj temeljito odstraniti in dekontaminirati vsadek in njegovo ležišče.
Vsadek je mrtvo tuje tkivo, katerega površina je oblikovana tako, da nudi čim boljše pogoje za dobro osteintegracijo, vendar na ta način istočasno omogoča nalaganje neugodnega biofilma na svoji površini. Terapija bolezni je tako usmerjena predvsem v čim hitrejše in natančnejše odstranjevanje plasti plaka s površine vsadka in preprečevanju ponovnega nabiranja le tega. Sistemsko dajanje antibiotikov v telo v primeru vnetij največkrat ni uspešno, saj je vsadek mrtvo, neprekrvavljeno tkivo, tako , da antibiotik bakterijskega plaka na njegovi površini ne doseže. Kratkotrajni učinki pri tovrstni terapiji so vidni samo na okoljnih mehki tkivih. Zaradi istega vzroka tudi uporaba dezenfekcijskih raztopin ni uspešna, saj tudi te do samega vroka ne morejo prodreti. Poleg tega uporaba le the pogosto pripelje do stranskih učinkov, ki so posledica dolgotrajne uporabe in povečevanja koncentracij. Rezistenca mikroorganizmov in glivične superinfekcije zato zahtevajo dodatne terapije, ki prav tako nimajo sigurnega rezultata.
V zadnjih nakaj letih so raziskovanja na področju odstranjevanja biofilma na površini vsadka pripeljala do številnih zaključkov, ki vsi podpirajo lokalno delovanje in kjer se je antnficirano in imikrobna fotodinamična terapija uveljavila kot eden izmed glavnih načinov terpije.
V praksi so se uveljavili različni protokoli vsem pa je skupen fotodinamični mehanizem, ki učinkovito zmanjša količino bakterij na površini vsadka in okolnih tkiv. Iz lastne prakse in drugih kliničnih dokumentacij je uporaba najsledjega načina zelo uspešna: sterilna svetlobnoaktivirajoča raztopina (HELBO blue; Bredent Medical; Senden) se nanese na inficirano in obolelo področje. Barvilo se odstrani s spiranjem s fiziološko raztopino po 60 do 180 sekundah. V tem času se molecule barvila odložijo na negativno nabitih področjih bakterijske stene. Po času delovanja se molekule barvila aktivirajo s hladno lasersko svetlobo (HELBO TheraLite laser, Bredent Medical, Senden). Pri aktivaciji pride do resorpcije energije v molekulah barvila. Pri menjavi spinskega števila elektronov nastanejo kisikovi prosti radikali, ki takoj reagirajo z lipidnimi molekulami v steni bakterij in jo tako nepovratno poškodujejo. Na podoben način uničijo tudi glive v biofilmu. Na opisan način se dekontaminira površina vsadka in obolelo okolno tkivo. Barvilo se zaradi membranskega potenciala eukariontskih celic (tkivo) na dotične ne veže kar pomeni da deluje izključno na prokariontske celice patoloških bakterij.
Na začetku bolezni se pojavi periimplantni mukozitis, ko je problem še omejen na mehka tkiva. V tem primeru je priporočljivo čim hitreje odstraniti vzrok vnetja, preden se ta razširi na trda kostna tkiva. Priporočljivo je odstraniti konstrukcijo in jo očistiti izven ustne votline. Komponete, ki jih ne moremo demontirati, očistimo v ustih z ultrazvokom in strgali, nazadnje pa izvedemo postopek dekontaminacije z metodo AFT.
Če bolezen napreduje, pride do infekcije in poškodbe trdih tkiv, ki tvorijo ležišče vsadka. Na RTG posnetku se problematika opazi kot kostni defekt, klinično pa kot gnojni izcedek iz periimlantnega žepa. Pri terapiji vertikalnih defektov > od 4 mm je potrebna odprta kirataža in reženj s široko bazo. Dezinfekcijo področja izvedemo z metodo AFT. Augumentacija do zgornjega roba vsadka je največkrat neuspešna zaradi nedosegaja potrebnega volumna pri vertikalni gradnji kosti. V primeru prevelike količine kostnega nadomestka pogosto pride do sekundarne infekcije , ki pripelje do še večje izgube kostne mase. V primerjavi z augumentacijo kosti okoli zob ali defektov kostnih grebenov je v tem primeru postopek manj uspešen. Zaradi tega se priporoča ugumentacija z autolognimi kostnimi delci.
Vnetna dogajanja okrog vsadkov nimajo enega in enostavnega vzroka, zato je iskanje le tega ključnega pomena pri izbiri terapije. Prisotnost patološkega biofilma je največkrat glavni vzrok za omenjeno dogajanje. Znano je, da imajo pacienti , ki trpijo za znaki parodontalne bolezni, znatno večje globine sondiranja okrog zobnih vsadkov, večjo izgubo kosti in znake periimplantitisa, kot pacienti, ki sicer nimajo znakov parodontalne bolezni.
Vzrok periimplantnih bolezni je v mnogih primerih relativno lahko ugotoviti, saj gre za nepravilno oblikovano protetično konstrukcijo, ki jo je težko ali nemogoče čistiit ali samo za ostanke cementa pod cementirano konstrukcijo. Terapija tako zahteva menjavo konstrukcija, ki pa za sam vsadek največkrat ni škodljiva. Precej težja in neuspešna je terapija, ko vzroki lečijo v nepopolni regeneraciji in osteointegraciji kostnih nadomestkov. Inficirane dele kosti ali njenih nadomestkov je potrebno čim preje in čim bolj temeljito odstraniti in dekontaminirati vsadek in njegovo ležišče.
Vsadek je mrtvo tuje tkivo, katerega površina je oblikovana tako, da nudi čim boljše pogoje za dobro osteintegracijo, vendar na ta način istočasno omogoča nalaganje neugodnega biofilma na svoji površini. Terapija bolezni je tako usmerjena predvsem v čim hitrejše in natančnejše odstranjevanje plasti plaka s površine vsadka in preprečevanju ponovnega nabiranja le tega. Sistemsko dajanje antibiotikov v telo v primeru vnetij največkrat ni uspešno, saj je vsadek mrtvo, neprekrvavljeno tkivo, tako , da antibiotik bakterijskega plaka na njegovi površini ne doseže. Kratkotrajni učinki pri tovrstni terapiji so vidni samo na okoljnih mehki tkivih. Zaradi istega vzroka tudi uporaba dezenfekcijskih raztopin ni uspešna, saj tudi te do samega vroka ne morejo prodreti. Poleg tega uporaba le the pogosto pripelje do stranskih učinkov, ki so posledica dolgotrajne uporabe in povečevanja koncentracij. Rezistenca mikroorganizmov in glivične superinfekcije zato zahtevajo dodatne terapije, ki prav tako nimajo sigurnega rezultata.
V zadnjih nakaj letih so raziskovanja na področju odstranjevanja biofilma na površini vsadka pripeljala do številnih zaključkov, ki vsi podpirajo lokalno delovanje in kjer se je antnficirano in imikrobna fotodinamična terapija uveljavila kot eden izmed glavnih načinov terpije.
V praksi so se uveljavili različni protokoli vsem pa je skupen fotodinamični mehanizem, ki učinkovito zmanjša količino bakterij na površini vsadka in okolnih tkiv. Iz lastne prakse in drugih kliničnih dokumentacij je uporaba najsledjega načina zelo uspešna: sterilna svetlobnoaktivirajoča raztopina (HELBO blue; Bredent Medical; Senden) se nanese na inficirano in obolelo področje. Barvilo se odstrani s spiranjem s fiziološko raztopino po 60 do 180 sekundah. V tem času se molecule barvila odložijo na negativno nabitih področjih bakterijske stene. Po času delovanja se molekule barvila aktivirajo s hladno lasersko svetlobo (HELBO TheraLite laser, Bredent Medical, Senden). Pri aktivaciji pride do resorpcije energije v molekulah barvila. Pri menjavi spinskega števila elektronov nastanejo kisikovi prosti radikali, ki takoj reagirajo z lipidnimi molekulami v steni bakterij in jo tako nepovratno poškodujejo. Na podoben način uničijo tudi glive v biofilmu. Na opisan način se dekontaminira površina vsadka in obolelo okolno tkivo. Barvilo se zaradi membranskega potenciala eukariontskih celic (tkivo) na dotične ne veže kar pomeni da deluje izključno na prokariontske celice patoloških bakterij.
Na začetku bolezni se pojavi periimplantni mukozitis, ko je problem še omejen na mehka tkiva. V tem primeru je priporočljivo čim hitreje odstraniti vzrok vnetja, preden se ta razširi na trda kostna tkiva. Priporočljivo je odstraniti konstrukcijo in jo očistiti izven ustne votline. Komponete, ki jih ne moremo demontirati, očistimo v ustih z ultrazvokom in strgali, nazadnje pa izvedemo postopek dekontaminacije z metodo AFT.
Če bolezen napreduje, pride do infekcije in poškodbe trdih tkiv, ki tvorijo ležišče vsadka. Na RTG posnetku se problematika opazi kot kostni defekt, klinično pa kot gnojni izcedek iz periimlantnega žepa. Pri terapiji vertikalnih defektov > od 4 mm je potrebna odprta kirataža in reženj s široko bazo. Dezinfekcijo področja izvedemo z metodo AFT. Augumentacija do zgornjega roba vsadka je največkrat neuspešna zaradi nedosegaja potrebnega volumna pri vertikalni gradnji kosti. V primeru prevelike količine kostnega nadomestka pogosto pride do sekundarne infekcije , ki pripelje do še večje izgube kostne mase. V primerjavi z augumentacijo kosti okoli zob ali defektov kostnih grebenov je v tem primeru postopek manj uspešen. Zaradi tega se priporoča ugumentacija z autolognimi kostnimi delci.





